1758
Try this at home: Ex vivo Human Brain at 200 Micron Resolution with a Simple Set Up.
Sanghoon Kim1, Ken Sakaie1, Mark J Lowe1, and Stephen E Jones1
1Cleveland Clinic Imaging Institute, CLEVELAND, OH, United States
Previous work with ex vivo imaging has been done using a sophisticated process. The results shown here suggest that similar data(200um resolution) can be readily acquired without taking extraordinary or costly measures. 
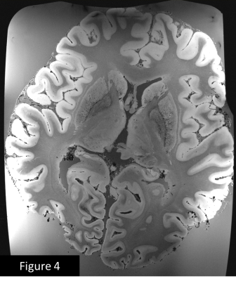
Figure 4. Ex vivo brain image at 200um resolution.
Figure 5. Different slices of 200um resolution image. (a) Axial. Fascicles in the Fornices. (b) Axial. Thalamic Nuclei.(c) Axial. LGN and adjacent optic radiation. (d) Coronal. Nucleus Accumbens