2524
Can T2 mapping be used to differentiate endometrial cancer from benign lesion?
han xu1, jie zhang2, ximing wang3, qingwei liu3, and xiang feng4
1radiology, shandong provincial hospital, JINAN, China, 2shandong provincial hospital, JINAN, China, 3shandong provincial hospital, jinan, China, 4MR Scientific Marketing,Diagnostic Imaging, Siemens Healthcare Ltd, beijing, China
T2 mapping can differentiate endometrial cancer from benign endometrial lesions, and can distinguish different type of endometrial cancer, but can not distinguish different stages or grades of endometrial cancer.
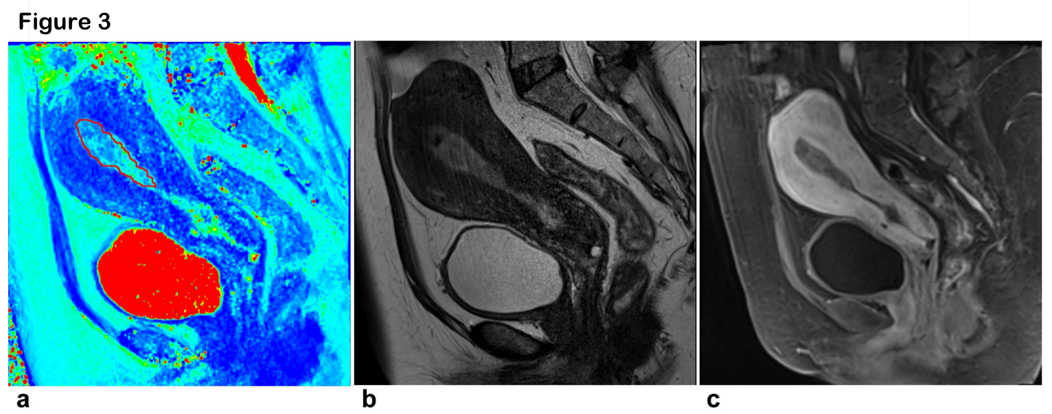
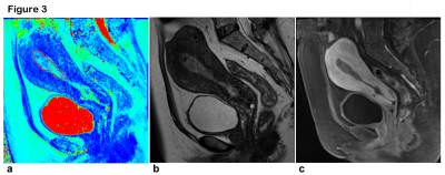
Figure 3 The region of interest were manually placed in the lesions according to lesion morphology and size. (a) Sagittal T2 map, (b) Saggital T2-weighted image and (c) Saggital enhanced image show a endometrial cancer in a 52-year-old woman.
Figure 1 (a) There were statistically significant differences among endometrial cancer, benign en-dometrial lesions and normal endometrium. (b) No significant differences were found among different tumor FIGO stages. (c) There were no significant differences among different tumor grades.