2594
Automatic Bone Segmentation on Whole body Diffusion-Weighted MRI using Deep Learning
Asha K Kumaraswamy1,2, Punith B Venkategowda1, Chandrashekar M. Patil2, and Robert Grimm3
1Siemens Healthcare Private Limited, Bengaluru, India, 2Vidyavardhaka College of Engineering, Mysuru, India, 3MR Application Predevelopment, Siemens Healthcare, Erlangen, Germany
Whole body diffusion-weighted MR imaging is a promising technique for the evaluation of bone metastases e.g. in prostate and breast cancer. In this work we present a deep learning method for automatic bone segmentation, based on T1-weighted imaging or DWI.
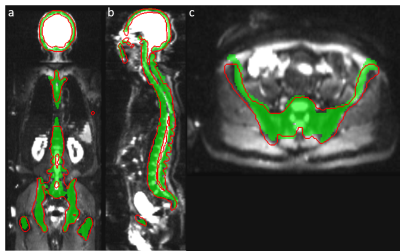
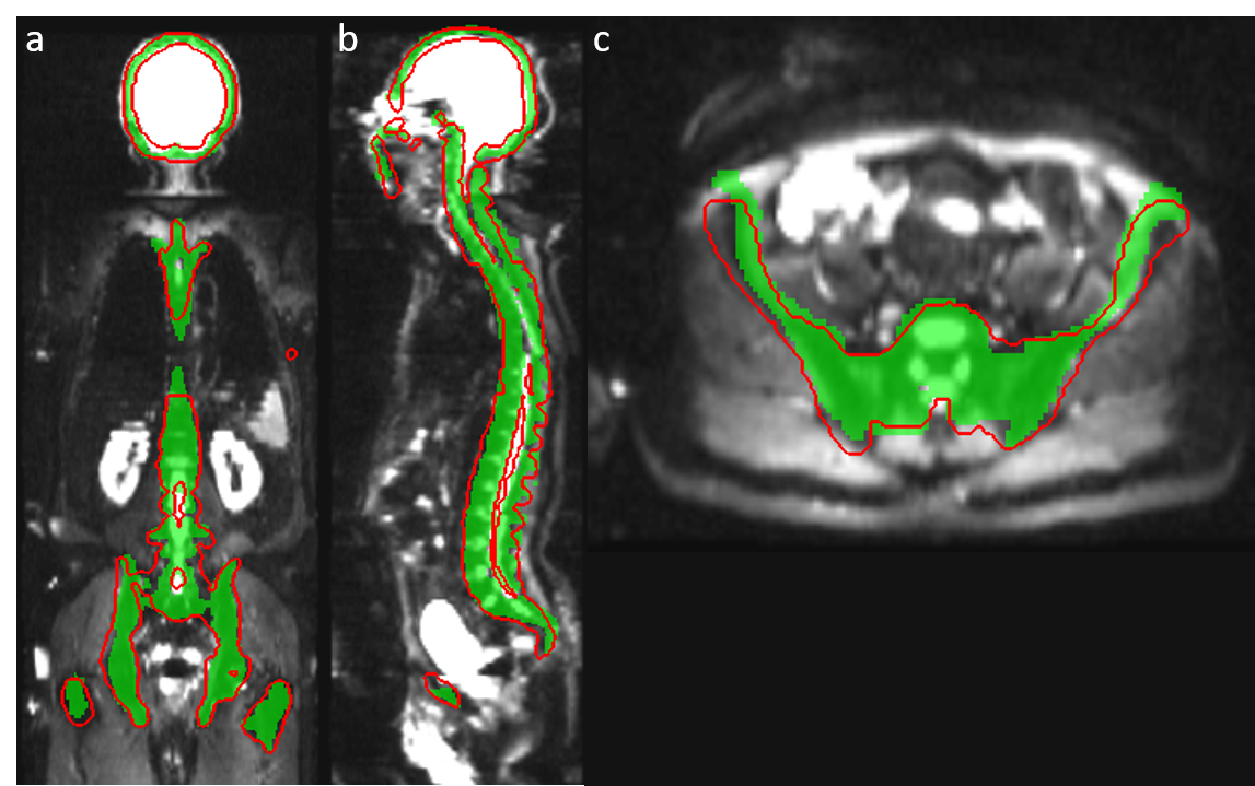
Figure 3: Result of CNN bone segmentation trained on DWI (shown as red contour) using template-based segmentation on T1-weighted images (green mask) as reference.
Figure 1: 3D CNN architecture considering a 192x128x64 volume as input and performing conv3d, batch normalization and elu in all the layers. Last layer with sigmoid activation and adam optimizer for back propagation.