3471
High Resolution Sodium MRI Through Manifold Approximation at 3T
Fernando Boada1, Hugh Wang1, Yongxian Qian1, Georg Schramm2, and Johan Nuyts2
1Radiology, New York University, New York, NY, United States, 2Katholieke Universiteit Leuven, Leuven, Belgium
We use  manifold approximation for the removal of T2-related blurring from sodium images. Our results demonstrate that anatomically-guided reconstructions can overcome the spatial resolution limits previously encountered for sodium MRI at clinically available field strengths.
Figure 3: Single slice from the (a) SW TPI input sodium image, (b) high-resolution T1 scan and (c) AGR result for the same data set in figure 2. These images clearly illustrate clear separation between the CSF, gray matter and white matter compartments of the brain (arrows).
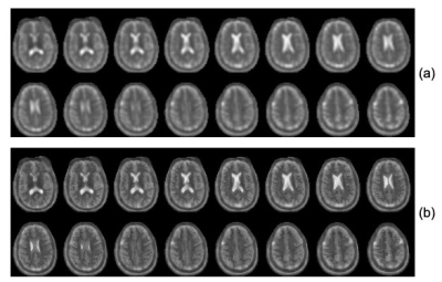
Figure 2: (a) Selected partitions from a 3D SW TPI sodium image acquired on a healthy human brain (TE/TR=0.3/100ms, 1596 views). (b) Selected partitions from the AGR sodium reconstruction of the data set presented in figure 2a. Note the significant improvement in spatial resolution, which allows depiction of differences in tissue sodium concentration between gray and white matter.