ISMRM & ISMRT Annual Meeting & Exhibition • 04-09 May 2024 • Singapore

ISMRM & ISMRT 2024 Annual Meeting & Exhibition

Digital Poster

Optimal Sequence & Hardware Design in Low-Field MRI

Navigation: Back to Meeting HomeBack to Meeting Home Navigation: Back to Program-at-a-GlanceBack to the Program-at-a-Glance

Optimal Sequence & Hardware Design in Low-Field MRI
Digital Poster
Physics & Engineering
Tuesday, 07 May 2024
Exhibition Hall (Hall 403)
14:30 -  15:30
Session Number: D-144
No CME/CE Credit

  Computer #
  2825.
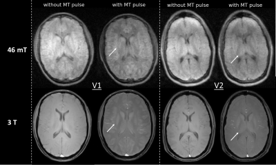
49 In-vivo Magnetization Transfer neuroimaging at 46 mT
Beatrice Lena1, Thomas O'Reilly1, and Andrew Webb1
1C.J. Gorter MRI Center, Radiology Department, Leids Universitair Medisch Centrum, Leiden, Netherlands

Keywords: Low-Field MRI, Magnetization transfer, Low Field MRI

Motivation: Here, we exploited the Low SAR in low-field MRI to study magnetization transfer (MT) , and potential to enhance brain tissue contrast, in particular between white and gray matter (challenging at low-field). 

Goal(s): The study aimed to identify suitable MT settings and explore MT contrast in-vivo at 46 mT.

Approach: MT settings were optimized to minimize direct saturation and maximize MT contrast. With this setup, we scanned five volunteers at 46 mT and acquired additional 3T scans for two participants

Results:  Optimal MT settings were defined in the phantom and in-vivo scans demonstrated the expected MT effects, and improved tissue contrast at 46 mT.

Impact: Magnetization transfer could be achieved off-resonance in-vivo at low-field MRI. It improves brain tissue contrast, in particular between white matter and gray matter, and has minimal direct saturation.

  2826.
50 A Low-Cost, Handheld, and Real-Time 2D MR Imager
Irene Kuang1, Elfar Adalsteinsson1,2, and Jacob White1
1Electrical Engineering and Computer Science, Massachusetts Institute of Technology, Cambridge, MA, United States, 2Institute for Medical Engineering and Science, Massachusetts Institute of Technology, Cambridge, MA, United States

Keywords: Low-Field MRI, Low-Field MRI

Motivation: To enable 2D phantom imaging using low-cost, handheld MRI for point-of-care and educational applications.

Goal(s): Optimize a handheld spokes-and-hub magnet for 2D imaging, focusing on cost-effective design to create a comprehensive imaging system with affordability, accessibility, and versatility.

Approach: This research extends prior studies focusing on a handheld spokes-and-hub magnet. Spin echo and turbo spin echo phantom imaging is enabled through optimization of magnet's design, RF pulses, and digitally-controlled H-bridge gradient coil drive.

Results: 64x64 pixel MR images obtained in seconds from 10 mm diameter phantoms using a duration-phase-encoded TSE sequence on our redesigned handheld imager (spokes-and-hub magnet, dithered-pulse RF, switch-driven gradients).

Impact: From magnet design and budget-friendly hardware constraints, we delve into 2D image acquisition in handheld spokes-and-hub MRI. Our tools aid iterative design, demonstrating viability for education and potential clinical use. Advancing low-field MRI, this work boosts MR accessibility and affordability.

  2827.
51 An elliptic-bore low-field portable Halbach magnet with full-length gradient support
Fernando Galve1, Eduardo Pallás1, Teresa Guallart-Naval1, Pablo García-Cristóbal1, José Miguel Algarín1, and Rubén Bosch1
1Institute for Molecular Imaging and Instrumentation (CSIC-UPV), Valencia, Spain

Keywords: Low-Field MRI, Low-Field MRI, Magnets (B0), New Devices

Motivation: To build a truly portable MRI scanner for neurological and MSK applications, optimized for field homogeneity and FoV size compared to standard Halbach configurations.

Goal(s): To explore elliptic-bore magnets to improve the field homogeneity and remove constraints to the extent of the gradient coils typical of Halbach magnets.

Approach: We have optimized a tightly-packed distribution of magnetic Nd2Fe14B cubes with differential evolution algorithm, and a second array of shimming magnets with interior point and differential evolution methods.

Results: We have built a 10 & 14 cm radii elliptic magnet with 87.4 mT@5700 ppm in a 10 cm radius FoV.

Impact: Elliptic-bore Halbach magnets enhance the ergonomicity and field distribution of low-costportable MRI scanners, while allowing for full-length gradient support to increase the FoV. Thisgeometry can be  potentially adapted for a prospective low-cost whole-body technology.

  2828.
52 A first 3D negative-contrast MR image using a low-Tc SQUID detection: towards portable clinical MRI
Marco Fiorito1, Isabelle Saniour1, Eva Grimaldi1, Romain Couvreur1, Ijee Mohanty1, Bastien Dassonneville1, Yacine Belkhodja1, Ricardo Ferreira1, Alexandre Jaoui1, and Dimitri Labat1
1Chipiron, Paris, France

Keywords: Low-Field MRI, Low-Field MRI, SQUID

Motivation: At Chipiron we strive to develop the first commercial portable ultra-low field MRI scanner based on SQUID detection.

Goal(s):  Here, we aimed to acquire a first 3D image using SQUID-MRI at 1 mT.

Approach: Using our own integrated SQUID-MRI system, we scanned a hand-made water based phantom using a GRE sequence.

Results: We successfully acquired a 3D image of a phantom in 6 h with a resolution of 5x5x40 mm3.

Impact: Aspiring to democratise MRI, we develop a portable ultra-low field scanner that leverages the high sensitivity of SQUID detection. Our first 3D image is just the first step that paves the way to achieving competitive image quality for clinical employment.

  2829.
53 A comparison of coil loading and SNR for elliptical solenoidal coil vs. a tight fitting dome helmet coil for low field neuroimaging
Tom O'Reilly1 and Andrew Webb1
1Leiden University Medical Center, Leiden, Netherlands

Keywords: Low-Field MRI, Low-Field MRI

Motivation: The narrow bandwidth of RF coils for low field MRI means that coils often require re-tuning between subjects due to different loading conditions.

Goal(s): We compare the performance and loading effects of an elliptical solenoid and a dome helmet coil to see which coil is more sensitive to loading

Approach: The SNR and transmit efficiency  of the two coil types are compared in when lightly loaded (phantom) and normally loaded (in-vivo) settings

Results: The elliptical solenoid coil has a substantially smaller frequency shift when loaded (~1kHz vs ~13kHz) and has superior SNR in-vivo compared to a tight -fitting dome helmet coil.

Impact: We compare the performance of tight-fitting dome helmet coil to an elliptical solenoid coil and find that due to reduced loading the performance of the elliptical coil is superior in-vivo while having better frequency stability with differing loads.

  2830.
54 Synthesising 3T DWI from ultra-low-field (64mT) acquisitions using generative diffusion models
Hongfu Sun1, Kh Tohidul Islam2, Markus Barth1, and Zhaolin Chen2
1University of Queensland, Brisbane, Australia, 2Monash University, Melbourne, Australia

Keywords: Low-Field MRI, Low-Field MRI

Motivation: Diffusion-weighted Imaging (DWI) at very-low fields like the 0.064 Tesla Hyperfine Swoop is limited by low signal-to-noise ratio (SNR), impeding clinical application.

Goal(s): This study aims to enhance DWI at such low fields by creating synthetic high-field images using pre-trained neural networks.

Approach: The Diffusion Probabilistic Model (DPM), an advanced generative AI, will be trained on high-quality 3T DWI images to learn their distribution. Low-field DWI images guide the DPM to conditionally synthesize high-quality images.

Results: With a well-trained DPM, we aim to produce high-quality, synthetic 3T-like DWI images that mirror the original low-field ones, bypassing the need for paired training data.

Impact: The method enhances DWI image quality at very-low field strength in an unsupervised manner, eliminating the need for paired high-field and low-field data, thus expanding training data availability. Zero-shot image reconstruction enhances its generalizability for diverse tasks.

  2831.
55 Self-shielded RF coils for imaging in unshielded environments at low-field
Kartiga Selvaganesan1, Molly Sadinski1, Muller Gomes1, Aleksandar Nacev1, and Scott King1
1Promaxo Inc., Oakland, CA, United States

Keywords: Low-Field MRI, Low-Field MRI

Motivation: Access to MRI worldwide could be improved by reducing cost and increasing portability of the system. This requires imaging to occur in unshielded rooms making them highly susceptible to environmental noise; therefore, low-cost alternatives are needed for noise mitigation

Goal(s): Here we have designed a self-shielded RF coil array, made of resonating coaxial cables, for low-field parallel imaging in unshielded environments.
 

Approach: The proposed coils were tested against copper loops through phantom and clinical studies in various noise environments.
 

Results: The results indicate the self-shield coils are robust to external noise and produce images with sufficient signal and contrast to distinguish anatomical features.
 

Impact: With the increased interest in the community towards developing accessible MR systems, the proposed coil design presents a low-cost and resource efficient method for noise mitigation, thereby allowing MRI to be portable and available to provide point-of-care screening.

  2832.
56 Reproducibility of quantitative MRI measures at Ultra-Low Field
Sharada Balaji1, Neale Wiley1, Adam Dvorak1, Francesco Padormo2, Rui Pedro A.G. Teixeira2, Megan E. Poorman2, Alex L. MacKay1, Tobias C. Wood3, Steve C.R. Williams3, Sean C.L. Deoni4, Emil Ljungberg3,5, and Shannon H. Kolind1
1University of British Columbia, Vancouver, BC, Canada, 2Hyperfine Inc, Guilford, CT, United States, 3King's College London, London, United Kingdom, 4MNCH D&T, Bill and Melinda Gates Foundation, Seattle, WA, United States, 5Lund University, Lund, Sweden

Keywords: Low-Field MRI, Low-Field MRI

Motivation: Ultra-low field scanners can vastly improve access to neuroimaging, and implementing MRI techniques to quantify microstructure allows monitoring of both neurodegenerative diseases as well as myelination trajectories during development.

Goal(s): To assess the reliability of microstructure-sensitive methods at ultra-low field before large-scale deployment.
 

Approach: The reliability of recently developed magnetization transfer (MT) imaging and T2 mapping sequences at 64mT was assessed in 5 healthy subjects through histograms, difference maps and correlation analysis in white matter.

Results: Both MT ratios and T2 values were highly reproducible in the test cohort.

Impact: Techniques to measure microstructure, even semi-quantitatively, can be useful for tracking myelination/demyelination. Here we demonstrate the reproducibility of two such methods: magnetization transfer imaging and T2 mapping, in a small cohort of healthy adults at ultra-low field (64mT).

  2833.
57 Design of novel loop coil array for B0 and gradient field generation
Yonghyun Ha1, Anja Samardzija2, Chenhao Sun1, Heng Sun2, Ryan Gross1, Gigi Galiana1, and R. Todd Constable1
1Radiology and Biomedical Imaging, Yale University, New Haven, CT, United States, 2Biomedical Engineering, Yale University, New Haven, CT, United States

Keywords: Low-Field MRI, Magnets (B0)

Motivation: By adjusting individual coil currents, a loop coil array can generate a uniform B0 field and it offers the flexibility to control gradient field direction making it suitable for compact MRI systems.

Goal(s): The goal is to show that the loop coil array produces a uniform and/or gradient magnetic fields.

Approach: The current values of individual loops for a uniform magnetic field were determined by ptimization to achieve either uniform field strength, whose orientation can be rotated, or a linear field gradient

Results: A method for calculating required current values has been presented, and simulations validate its effectiveness.

Impact: Suggested coil arrays offer the potential for developing more compact and lighter MRI systems by substituting traditional magnets and 3-axis gradient coils in current low-field MRI setups.

  2834.
58 Effect of electromagnetic interference on very low-field images
Pavan Poojar1, Ivan Etoku Oiye1, and Sairam Geethanath1
1Accessible Magnetic Resonance Laboratory, Biomedical Imaging and Engineering Institute, Department of Diagnostic, Molecular and Interventional Radiology, Icahn School of Medicine at Mount Sinai, New York, NY, United States

Keywords: Low-Field MRI, Brain

Motivation: Very low-field MRI offers several benefits related to accessibility. However, electromagnetic interference (EMI) poses a significant challenge by degrading SNR. Hence, evaluating the effect of EMI on image quality is improvement.

Goal(s): The study aims to investigate the influence of EMI on image quality using 50mT.

Approach: We varied the distance and amplitude of the EMI producing coil from signal generator. We analyzed the effect of EMI on the image quality.

Results: As expected, the SNR decreases with an increase in amplitude. The standard deviation and RMS of the background increase as the increase in amplitude and decrease in distance.

Impact: Highlight the influence of EMI on image quality.The results indicate that as the amplitude of the coil increases or the distance between the transmitter and scanner decreases, the signal-to-noise ratio decreases, the standard deviation and RMS of the background increase.

  2835.
59 A LOW-COST AND OPEN-SOURCE MAGNET TEST STATION TO IMPROVE THE ASSEMBLY PROCESS OF LOW-FIELD SCANNER MAGNETS
Umberto Zanovello1, Vittorio Basso1, and Lukas Winter2
1Istituto Nazionale di Ricerca Metrologica (INRiM), Torino, Italy, 2Physikalisch-Technische Bundesanstalt (PTB), Berlin, Germany

Keywords: Low-Field MRI, Low-Field MRI, Permanent Magnets

Motivation: The building process of low-field scanners magnets, when composed of a large number of small permanent magnets, is time-consuming and error-prone due to the highly repetitive task.

Goal(s): To design a low-cost and open-source solution making the magnet building process faster and more reliable.

Approach: To use a Hall sensor to distinguish between working and defective permanent magnets. Furthermore, to take advantage of the attractive force between two permanent magnets to identify the polarization direction.

Results: A magnetic test station is designed. CAD drawings and scripts are made available on the GitHub repository.

Impact: A magnet test station allowing for an easy and straightforward testing of small permanent magnets is proposed. The test station makes the construction process of low-field scanner magnets, composed of a large number of permanent magnets, faster and more reliable.

  2836.
60 Self Shielding Multi-turn RF Surface Coil Planar Arrays for Low-field MRI at 2MHz
N Reid Bolding1, Sai Abitha Srinivas2, Snow Lin2, Aria Patel2, Jessie Sun3, and Mark Griswold3
1Physics, Case Western Reserve University, Cleveland, OH, United States, 2Biomedical Engineering, Case Western Reserve University, Cleveland, OH, United States, 3Radiology, Case Western Reserve University, Cleveland, OH, United States

Keywords: Low-Field MRI, RF Arrays & Systems

Motivation: Low field MRI using RF based gradients can reduce both its cost and bulk.  Multi-channel RF arrays can enable this. Effective methods to decouple these coils and mitigate EMI are necessary for building efficient RF encoding based systems.

Goal(s): To  improve multi-channel RF array performance for low field MRI and automatically reject EMI.

Approach: Develop an array of multi-turn surface coils with concentric shields. These are verified with an EMI rejection test and geometric decoupling tests.

Results: These coils automatically reject environmental noise and add two additional geometric coupling modes when used in an array, allowing for more array configurations.

Impact: RF array decoupling and EMI mitigation are challenging at low-field. We develop a method to decouple RF coil arrays by leveraging counter-wound multiturn surface coils allowing for additional decoupling modes. These coils are also self-shielded, providing added EMI mitigation.

  2837.
61 Design and comissioning of a new field-cycling imaging scanner for clinical applications
James Ross1, Gareth Davies1, David Lurie1, and Lionel Broche1
1Aberdeen Biomedical Imaging Centre, University of Aberdeen, Aberdeen, United Kingdom

Keywords: Low-Field MRI, Low-Field MRI, Field-Cycling

Motivation: Field-cycling imaging is a new imaging technique that allows access to new imaging biomarkers. To allow investigation of clinical applications a high performance and patient acceptable scanner is needed.

Goal(s): We have constructed a new clinical-grade resistive field-cycling imaging system operating at 0.2 T with a 60 cm bore and high performance gradient and magnet amplifiers, with a custom made outer covering.

Approach: The system is in the late stage of commissioning. The field homogeneity and temporal stability have been assessed.

Results: The final system is visually attractive and has < 1 ppm temporal stability and < 8 ppm field homogeneity.

Impact: This system will allow us to investigate the clinical utility of field-cycling and low-field imaging in a much larger patient population. The high performance gradient amplifiers will enable much faster imaging, which will enable new possibilities for new sequence development.

  2838.
62 Beyond Boundaries – A versatile Console ­ for Advanced Low-Field MRI
David Schote1, Berk Silemek1, Frank Seifert1, Christoph Kolbitsch1, Thomas O'Reilly2, Andreas Kofler1, Andrew Webb2, and Lukas Winter1
1Physikalisch-Technische Bundesanstalt (PTB), Braunschweig and Berlin, Germany, 2Department of Radiology, Leiden University Medical Center (LUMC), C.J.Gorter MRI Center, Leiden, Netherlands

Keywords: Low-Field MRI, Low-Field MRI, open-source, console, acquisition

Motivation: We challenge proprietary barriers in low-field MRI to enhance methodological integration. Our focus is on improving system versatility for advanced imaging.

Goal(s): To create a versatile, MRI console driven by open-source software, capable of integrating sophisticated low-field imaging techniques. This involves for instance additional sensors or real-time adaptions.

Approach: We implemented Spectrum-Instrumentation measurement cards with a high-performance reconstruction system. The open-source Python software, incorporating a Pulseq interpreter, allows to streamline flexible, fast, and transparent low-field imaging applications.

Results: Successful implementation evidenced by high-fidelity Pulseq sequence execution to image 3D printed brain phantoms on a system capable of in-vivo applications.

Impact: The open and versatile design of our proposed console paves the way for advanced techniques in low-field MRI, enabling widespread adoption in research facilities and fostering innovative MRI applications in resource-limited settings.

  2839.
63 Effect of the RF shield-to-coil distance on coil efficiency for a 46 mT Halbach-based point-of-care MRI system
Javad Parsa1 and Andrew Webb2
1Leiden University Medical Center, Leiden, Netherlands, 2Radiology, Leiden University Medical Center, Leiden, Netherlands

Keywords: Low-Field MRI, Simulations

Motivation: Inner-Shield in Halbach-array magnet effect RF coil transmit efficiency and signal-to-noise ratio(SNR). With this, finding a good trade of between magnet diameter and SNR is important.

Goal(s): Find the proper magnet diameter with respect to the RF coil transmit efficiency.

Approach: Simulations of the transmit efficiency of three RF coils used for neuroimaging on a 46 mT Halbach-array point-of-care MRI system have been performed in terms of analyzing the coil to RF shield distance located inside the magnet. 

Results: Results show that a distance of 1 cm results in a 50% lower transmit/receive efficiency than a 3 cm gap. 

Impact: This means that slightly larger magnets may have higher signal-to-noise even though the B0 field is lower. 

Similar Session(s)

Navigation: Back to Meeting HomeBack to Meeting Home Navigation: Back to Program-at-a-GlanceBack to the Program-at-a-Glance

The International Society for Magnetic Resonance in Medicine is accredited by the Accreditation Council for Continuing Medical Education to provide continuing medical education for physicians.